找回密码
 注册

微信登录,快人一步

QQ登录

只需一步,快速开始

楼主: gjs661

紧急求助——82岁老岳父发热1个月(第87楼有更新)

 火... [复制链接]
  • 打卡等级:小镇青年
  • 打卡总奖励:388
  • 最近打卡:2025-09-10 14:06:21
发表于 2009-4-19 19:34 | 显示全部楼层
最近我院有这样一位老干部,已经发热2周余了,一度用抗伤寒治疗,体温似乎下来了,但这几天又是39度以上,也怀疑过药物热,停了药还是发热!昨晚我总值班,正好看到这位病人出血,在抢救!大家都很郁闷,发热待查,查到何时?

评分

参与人数 1 +10 收起 理由
gjs661 + 10 谢谢关注与介绍

查看全部评分

回复

使用道具 举报

 楼主| 发表于 2009-4-19 19:44 | 显示全部楼层

回复 #41 缭绕 的帖子

缭管,您院的那个病人是哪个部位出血?
回复

使用道具 举报

发表于 2009-4-19 19:45 | 显示全部楼层

回复 #38 gjs661 的帖子

临床经验不足,但对您的岳父还是一直非常关注。
一、停用抗菌药物这么久了,是不是再做一次血培养?
二、热度一直也不是特别高,仍然怀疑阴性杆菌感染?之前所用抗菌药物均不耐ESBL酶,可否使用头孢哌酮舒巴坦+磷霉素治疗?涵盖面是不是更广一些?
三、病程这么久了,会否出现真菌感染?若没有,是否还需要预防真菌感染?
有时候会病急乱投病,尤其是面对自己的亲人的时候,会乱了方寸,还仔细梳理一下病史,逐一排除,聚集高度怀疑的可能再做一些针对性的检查,您看呢?
供参考!唯愿老人早日康复!:handshake

评分

参与人数 1 +10 收起 理由
gjs661 + 10 谢谢楚管的关注与建议

查看全部评分

回复

使用道具 举报

 楼主| 发表于 2009-4-19 20:13 | 显示全部楼层

回复 #43 楚楚 的帖子

已经17天没有用任何抗菌药物了,非常适合血培养。两个多星期没有做检查了,应该在做那些检查,的确需要认真梳理、思考。
回复

使用道具 举报

 楼主| 发表于 2009-4-28 23:08 | 显示全部楼层

最近的情况

感谢楚管、风雨同舟老师等几位老师在杭州年会上对我岳父病情的关心!

4月19日 曾电话与市医院细菌室主任联系,朱老师的看法与市医院感染病科主任看法一致:有可能是肺外结核。
4月20日 复查大生化 CPR 48mg/L,其余项目正常。血小板23~26×10*9/L。
4月21日 骨髓穿刺 粒系、红系无异常 血小板减少骨髓象。血液科主任分析属于继发性血小板减少原因风湿类疾病、恶性肿瘤。
4月22~25日 每天静脉点滴甲强龙。
期间仍发热最高达39.7℃。复查血小板升到50×10*9/L。再次三次血培养(每次两份套)、一次骨髓培养均阴性。
4月26日到齐鲁医院血液科住院,今天再次做骨髓穿刺。

由于手足口病疫情,作为儿科主任不能离开岗位,济南专家的检查思路与初步诊断不知道。

请各位专家、老师再费心,给出建议。一旦获得检查结果我将尽快告诉各位老师、战友。
回复

使用道具 举报

发表于 2009-4-29 23:35 | 显示全部楼层
问候,也为你岳父身体担忧。:handshake
疑难是没有临床诊断,或证据不足及意见不一致?
除血小板异常外,感染是存在,考虑多重耐药菌的存在?
除结核、细菌、真菌外,也可能是其它病原体,如军团菌、支原体、衣原体等?
免疫力低或缺陷,也是发热之因素,加强营养支持,或输血等?
如果是肿瘤,可能性大的是血液系统的,查肿瘤因子等?。。。

祝老人早日康复!
回复

使用道具 举报

 楼主| 发表于 2009-5-7 20:20 | 显示全部楼层
本帖最后由 gjs661 于 2009-5-7 20:34 编辑

真不甘心——到底是什么病?
4月26日中午住进齐鲁医院血液科,期间的检查:
骨髓穿刺:一次髂骨、一次胸骨。1.符合感染性骨髓象 2.血小板减少 3.分化较好的组织细胞较多见,可见吞噬血小板的组织细胞。
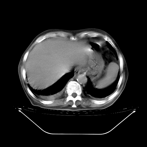
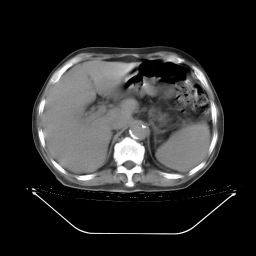
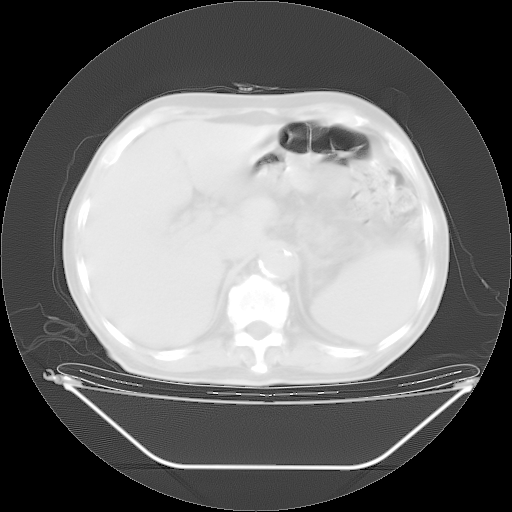
胸腹部CT,诊断意见:左上肺叶钙化灶、左侧胸膜局限性增厚并钙化、胆囊炎。描述部分肺组织呈磨玻璃样改变。
4月27日血生化 白蛋白31g/L
风湿十一项 阴性、抗中性粒细胞胞浆抗体阴性
抗结核抗体 阳性
血培养(两套)阴性  期间在我院抽血的两瓶真菌培养阴性
血常规:WBC6.2×10*9/L HB 158g/L PLT 30×10*9/L 血沉5mm/H
由于发热原因不明,并且尿量减少,医生建议出院。期间体温有三天达到39℃。

我曾打电话要求请呼吸科、肿瘤科、感染科会诊。但是没有会诊,可能血液科的医生认为会诊不会有确切的结果。
5月5日下午,返回我院(县城),查谷丙53 谷草75 白蛋白27.1g/L BUN 9.8mmol/L CRP23.18mg/L  下肢浮肿 指端紫绀 呼吸40次/分。尿蛋白阴性。一般情况明显变差。

这样的情况已经不能再到北京、上海检查,再检查必将是忍受各种痛苦的检查。就这样坐以待毙?浮肿再重、尿量再减少,就必须靠白蛋白维持了。

为什么又出现紫绀、呼吸加快?老人到底是什么病?我真的不甘心!但是我又能怎么办?
回复

使用道具 举报

发表于 2009-5-7 21:35 | 显示全部楼层
及早请心血管科会诊?
心衰,肾功减退等?

为你着急!
47# gjs661
回复

使用道具 举报

发表于 2009-5-7 22:18 | 显示全部楼层
很抱歉,今天才看见此帖:$复习了 您岳父的整个病史、相关检查和对抗菌药物及激素等的治疗反应,目前分析如下感染性发热可能性很小,药物性发热可除外,伤寒不考虑,目前需除外1:肺外结核?骨髓结核或肠结核?(骨髓涂片、培养送抗酸杆菌、腹部CT、查SR)2、查免疫全套:除外因免疫性疾病引起的发热?3、恶组不能除外:找到恶性组织细胞很难找到,确诊往往很难,鉴于此,认为结核是可治性疾病,目前肝、肾功能情况允许的情况下诊断性抗痨治疗?同时加强支持治疗,如果仍发热,在抗痨治疗下,可与短期激素治疗。仅供参考!如果愿意,可将详细资料发与我,请教我院相关专家。

评分

参与人数 1 +9 威望 +1 收起 理由
gjs661 + 9 + 1 谢谢呼吸博士

查看全部评分

回复

使用道具 举报

 楼主| 发表于 2009-5-9 23:26 | 显示全部楼层
补充在齐鲁医院血液科住院时的呼吸方面变化:
4月30日胸闷,咳嗽、咳白色痰,5月4日中午以后逐渐出现呼吸急促。5月5日以后呼吸多在40次/分以上。

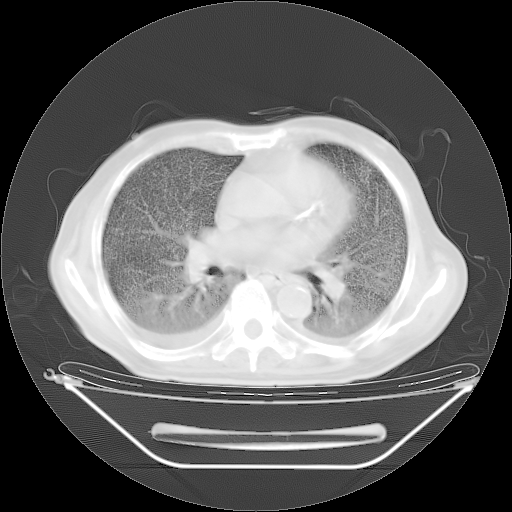
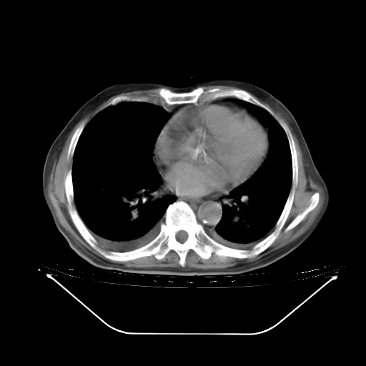
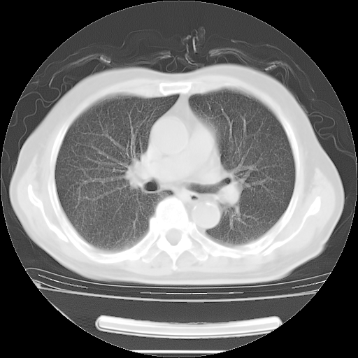
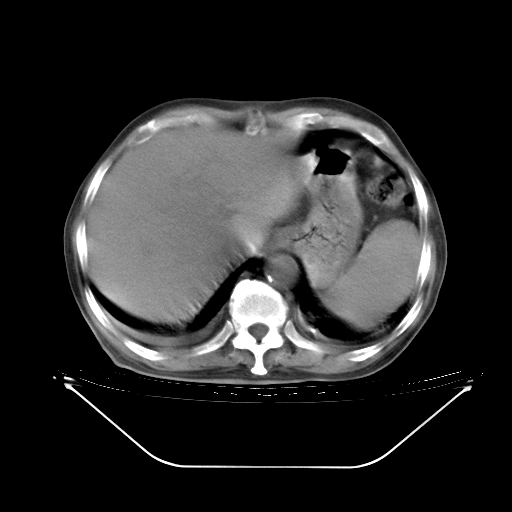
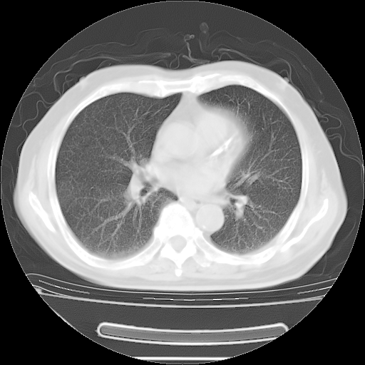
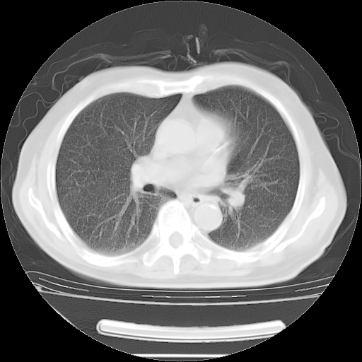
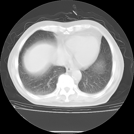
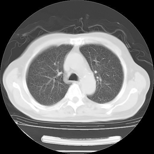
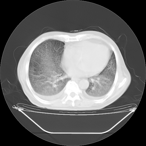
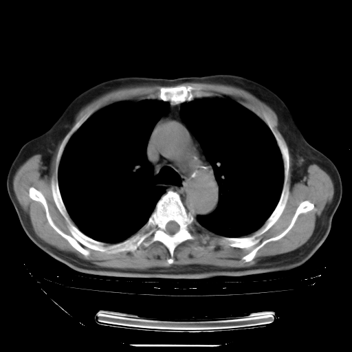
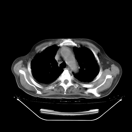
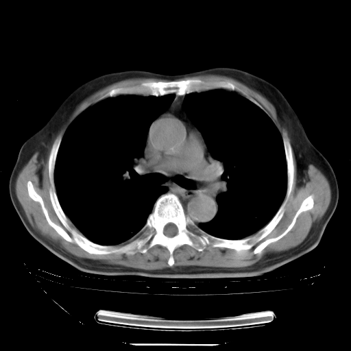
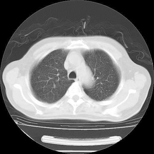
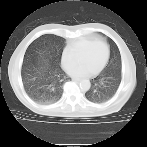
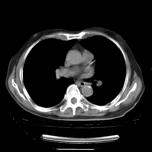
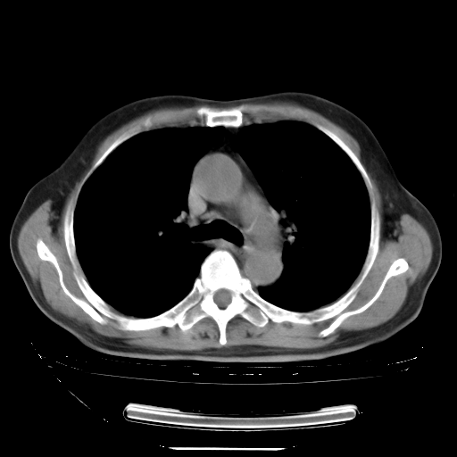
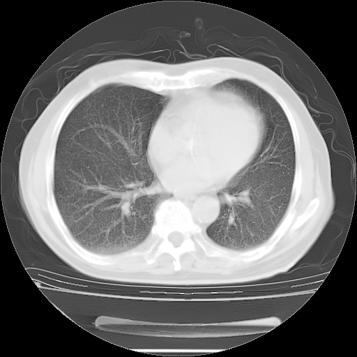
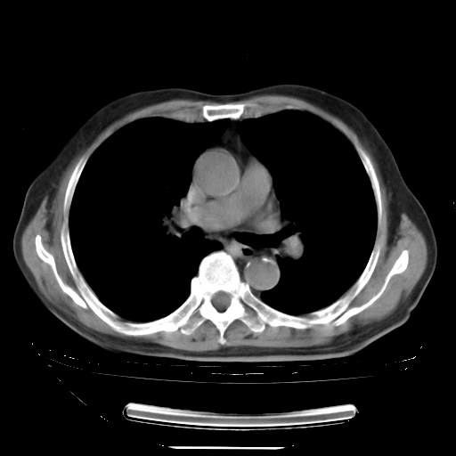
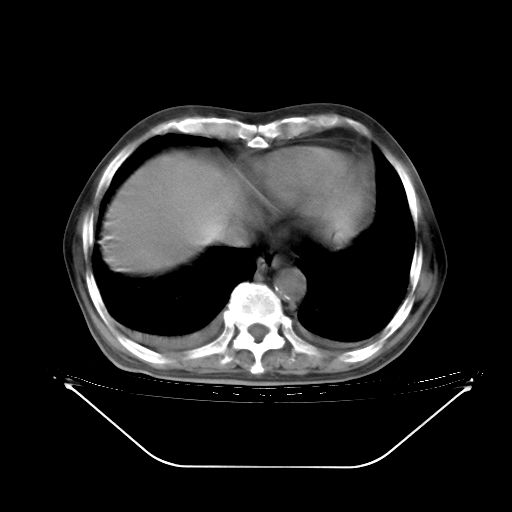
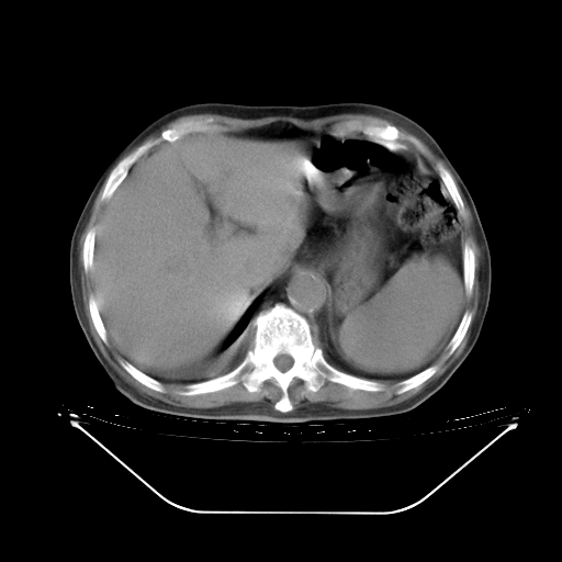
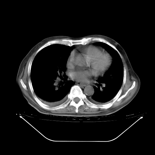
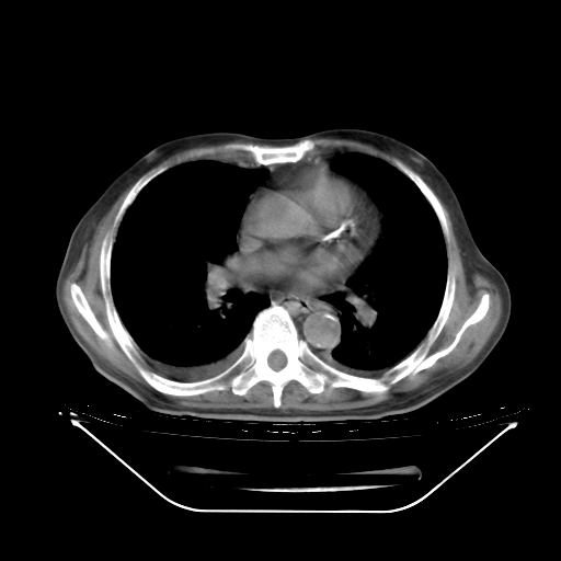
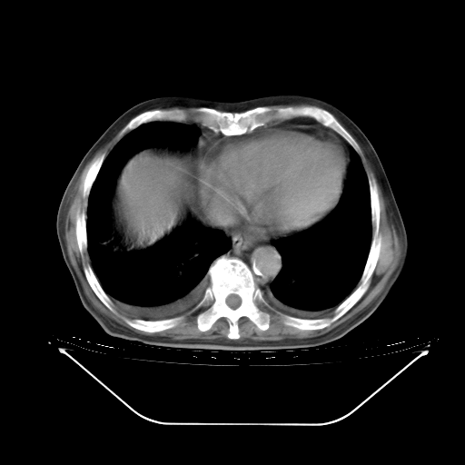
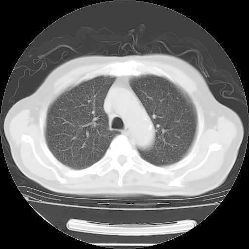
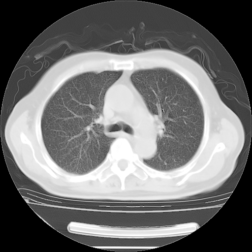
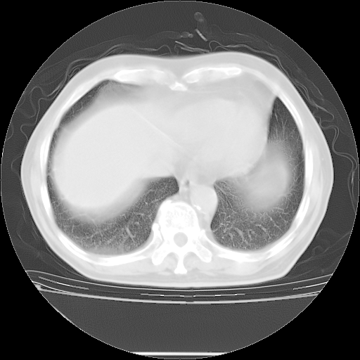
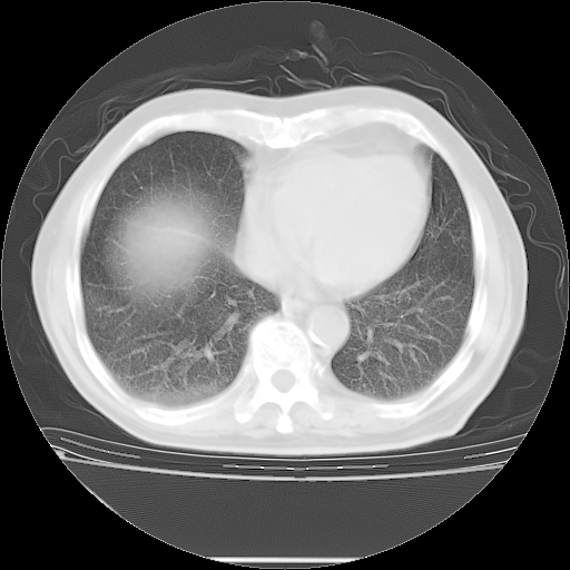
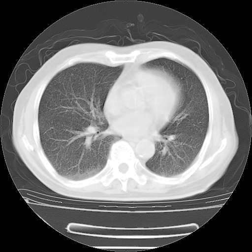
今天复查肺部CT,发现双肺广泛磨玻璃样改变。所以我把3月19日和5月9日相隔50天的肺部CT上传。请大家会诊。
回复

使用道具 举报

 楼主| 发表于 2009-5-9 23:29 | 显示全部楼层
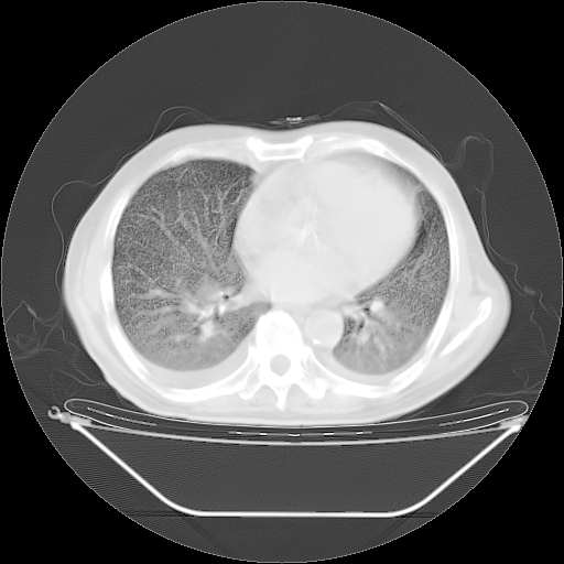
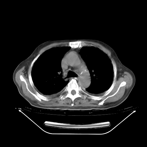
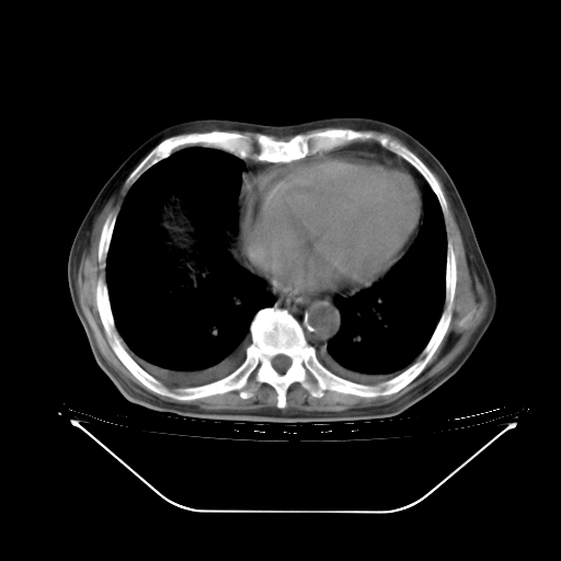
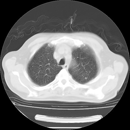
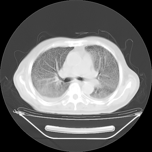
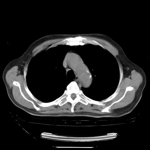
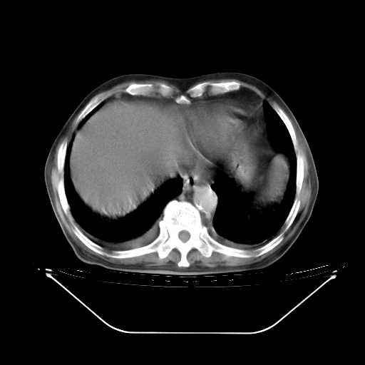
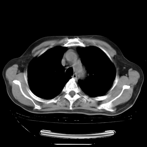
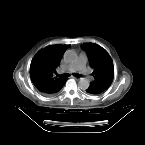
2009年3月19日肺部CT片。

94186 3 1 .bmp

94186 3 2 .bmp

94186 3 3 .bmp

94186 3 4 .bmp

94186 3 5 .bmp

94186 3 6 .bmp

94186 3 7 .bmp

94186 3 8 .bmp

94186 3 9 .bmp

94186 3 10.bmp
回复

使用道具 举报

 楼主| 发表于 2009-5-9 23:31 | 显示全部楼层
2009年3月19日肺部CT

94186 3 11.bmp

94186 3 12.bmp

94186 3 13.bmp

94186 3 14.bmp

94186 3 15.bmp

94186 3 16.bmp

94186 3 17.bmp

94186 3 18.bmp

94186 3 19.bmp

94186 3 20.bmp
回复

使用道具 举报

 楼主| 发表于 2009-5-9 23:34 | 显示全部楼层
2009年3月19日肺部CT

94186 3 1 .bmp

94186 3 2 .bmp

94186 3 3 .bmp

94186 3 4 .bmp

94186 3 5 .bmp

94186 3 6 .bmp

94186 3 7 .bmp

94186 3 8 .bmp

94186 3 9 .bmp

94186 3 10.bmp

94186 3 11.bmp
回复

使用道具 举报

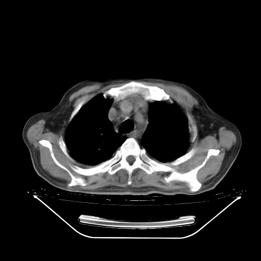
 楼主| 发表于 2009-5-9 23:40 | 显示全部楼层
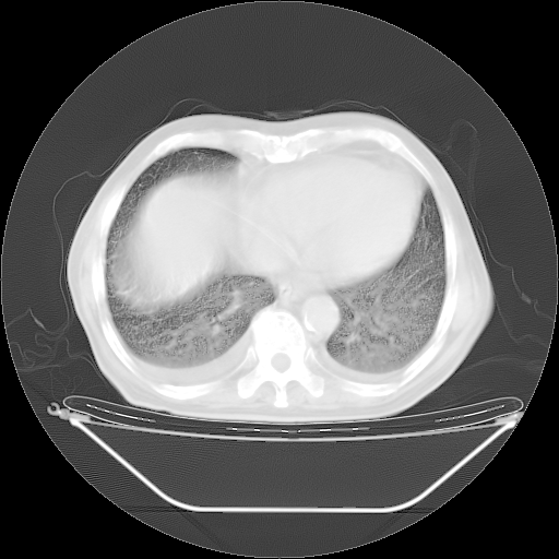
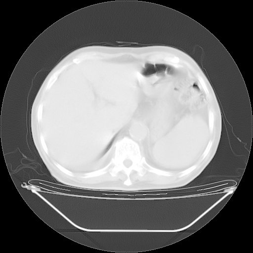
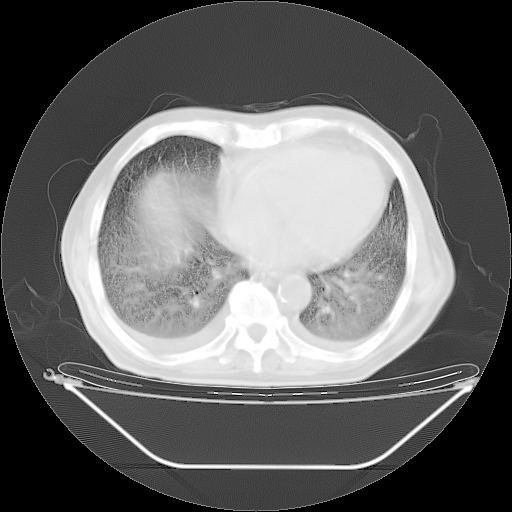
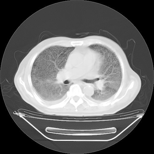
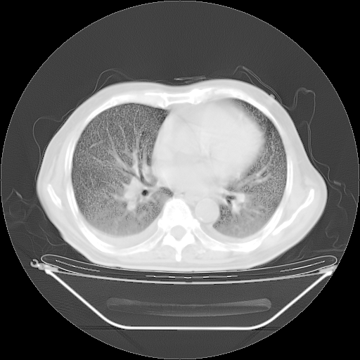
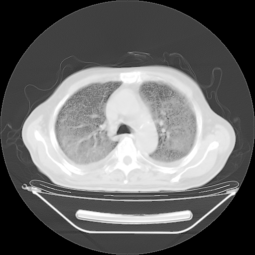
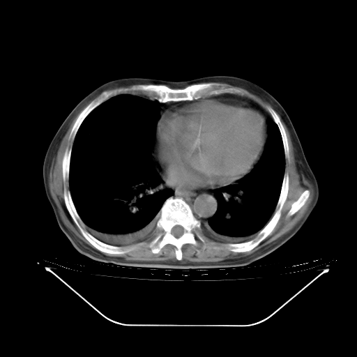
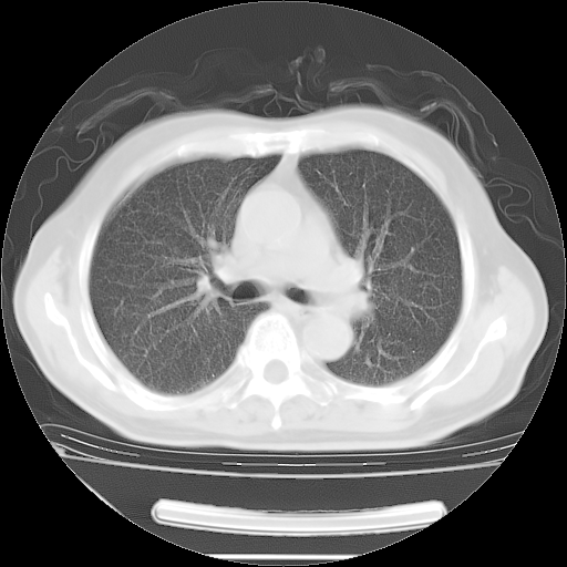
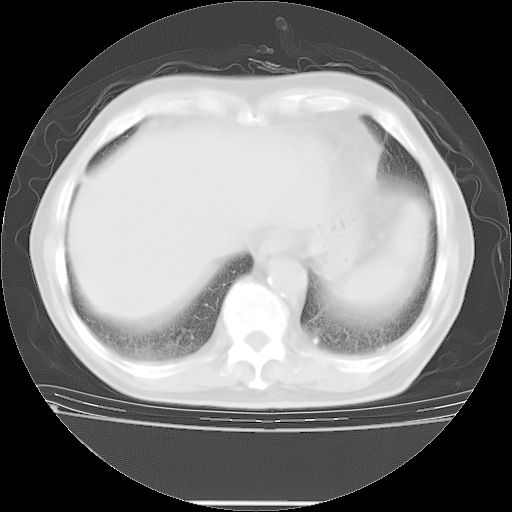
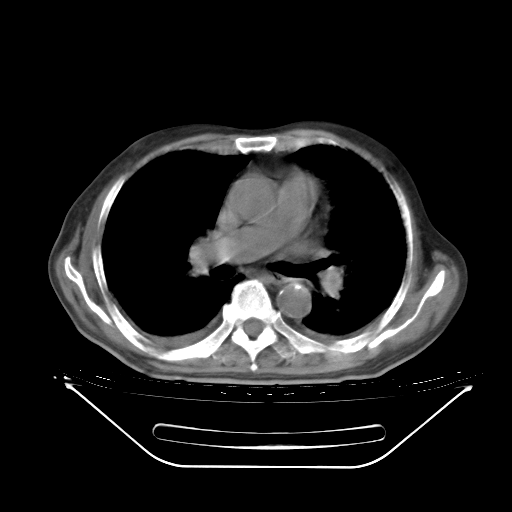
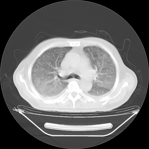
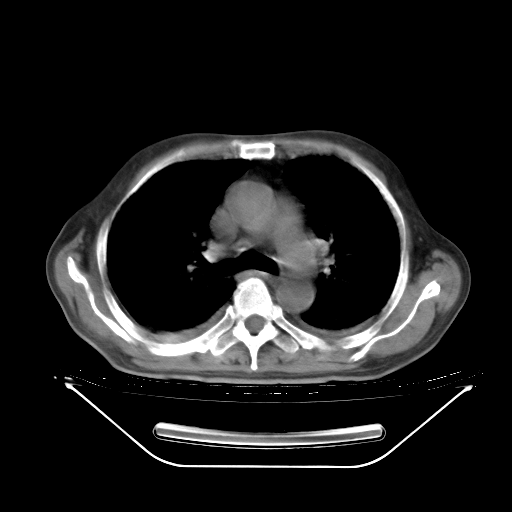
5月9日肺部CT(在4月27日齐鲁医院肺部CT描述部分肺组织磨玻璃样改变,12天后肺组织广泛磨玻璃样改变)

94186 2 1 .bmp

94186 2 2 .bmp

94186 2 3 .bmp

94186 2 4 .bmp

94186 2 5 .bmp

94186 2 6 .bmp

94186 2 7 .bmp

94186 2 8 .bmp

94186 2 9 .bmp

94186 2 10.bmp

94186 2 11.bmp

94186 2 12.bmp
回复

使用道具 举报

 楼主| 发表于 2009-5-9 23:43 | 显示全部楼层
2009年5月9日肺部CT

94186 2 13.bmp

94186 2 14.bmp

94186 2 15.bmp

94186 2 16.bmp

94186 2 17.bmp

94186 2 18.bmp

94186 2 19.bmp

94186 2 20.bmp

94186 2 21.bmp

94186 2 22.bmp

94186 2 23.bmp
回复

使用道具 举报

 楼主| 发表于 2009-5-9 23:51 | 显示全部楼层
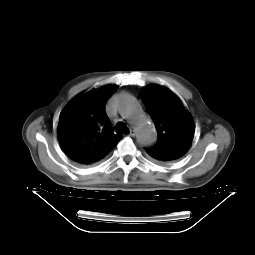
2009年5月9日肺部CT

94186 1 1 .bmp

94186 2 1 .bmp

94186 2 2 .bmp

94186 2 3 .bmp

94186 2 4 .bmp

94186 2 5 .bmp

94186 2 6 .bmp

94186 2 7 .bmp

94186 2 8 .bmp

94186 2 9 .bmp

94186 2 10.bmp

94186 2 11.bmp

94186 2 12.bmp
回复

使用道具 举报

 楼主| 发表于 2009-5-9 23:54 | 显示全部楼层
2009年5月9日肺部CT

94186 2 13.bmp

94186 2 14.bmp

94186 2 15.bmp

94186 2 16.bmp

94186 2 17.bmp

94186 2 18.bmp

94186 2 19.bmp

94186 2 20.bmp

94186 2 21.bmp

94186 2 22.bmp

94186 2 23.bmp
回复

使用道具 举报

 楼主| 发表于 2009-5-10 00:03 | 显示全部楼层
整理后的临床资料(各位请您把临床资料与肺部CT影像请您医院的呼吸科专家会诊,谢谢!)

病历资料.doc (37 KB, 下载次数: 15)
回复

使用道具 举报

发表于 2009-5-10 17:36 | 显示全部楼层
大致读了系列胸部CT:纵隔窗无明显异常,肺窗:从4、27至今:主要是双肺中下野外带可见毛玻璃样改变,目前处于急性肺泡炎阶段,至于原因考虑1、结替组织或胶原血管性疾病所致?2、恶性疾病如恶组在肺部所致的表现或细支气管肺泡癌?3、药物或其它原因如肺蛋白沉着症所致肺泡炎目前不太可能?总之,明天就去请我院的呼吸科、感染科、血液科和临免专家会诊哈。

评分

参与人数 1 +9 威望 +1 收起 理由
gjs661 + 9 + 1 谢谢啊!

查看全部评分

回复

使用道具 举报

发表于 2009-5-10 19:04 | 显示全部楼层
真替老人家担忧,病情有进展,可是到现在却连诊断都没有,治疗效果不理想。明天将有关资料请我院的有关专家看看,有否建设性意见。

评分

参与人数 1 +9 收起 理由
gjs661 + 9 谢谢啊!

查看全部评分

回复

使用道具 举报

您需要登录后才可以回帖 登录 | 注册 |

本版积分规则

关闭

站长推荐上一条 /1 下一条

快速回复 返回顶部 返回列表