|
|
楼主 |
发表于 2010-4-28 18:13
|
显示全部楼层
回复 88# 桃子妖妖
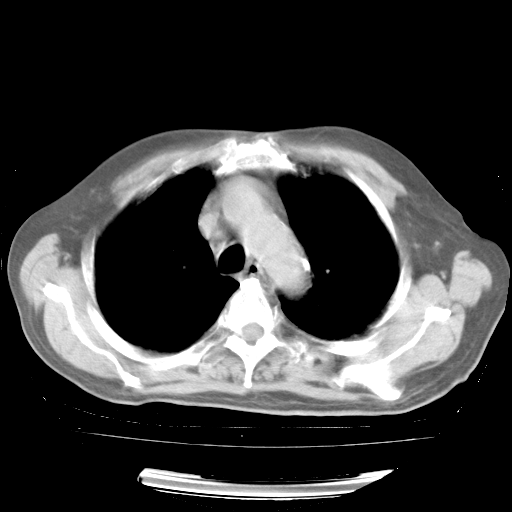
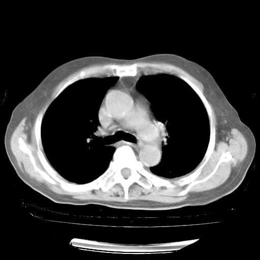
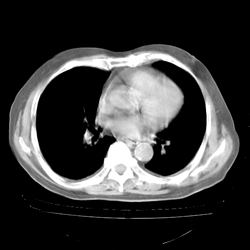
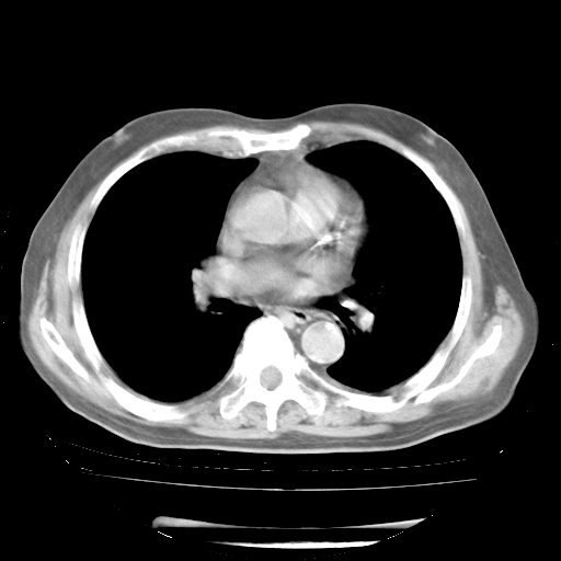
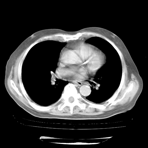
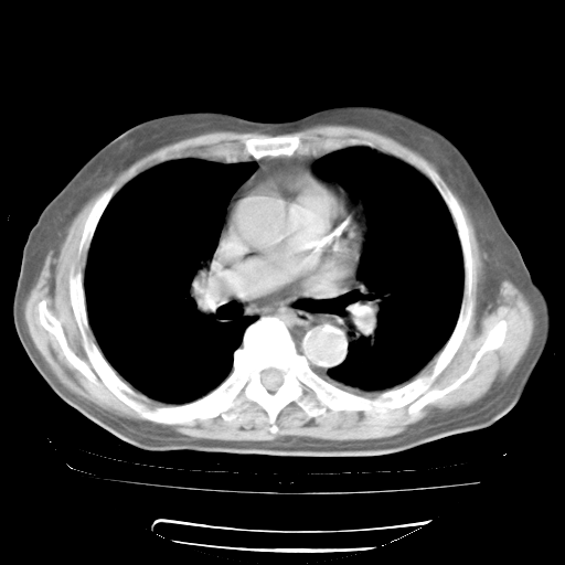
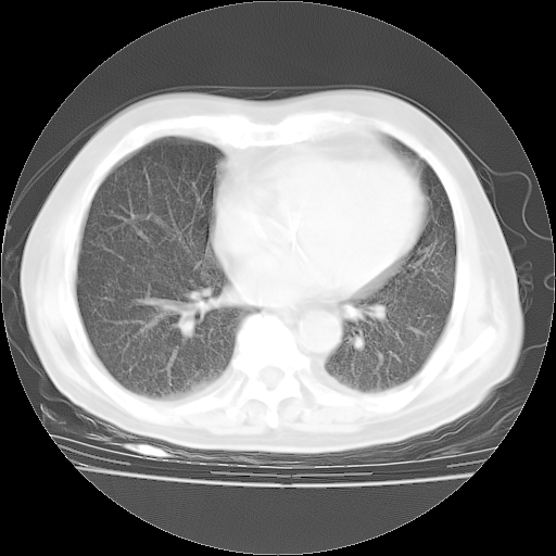
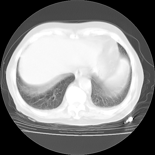
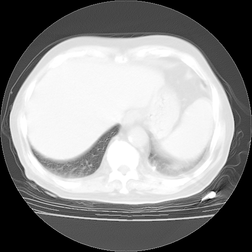
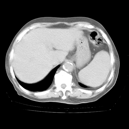
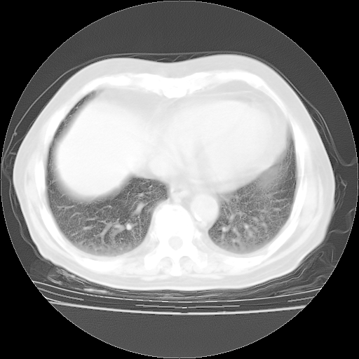
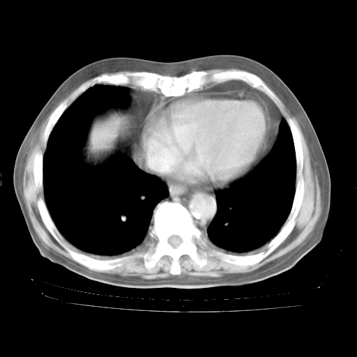
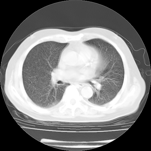
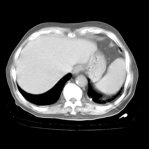
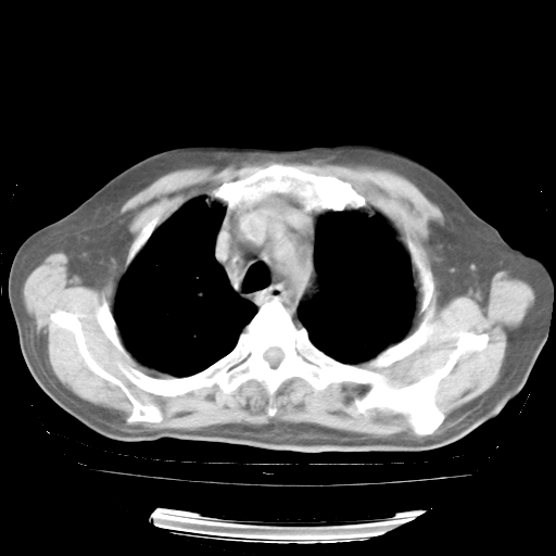
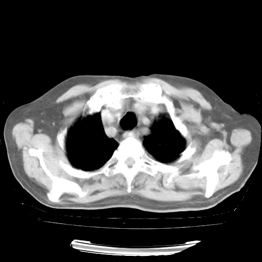
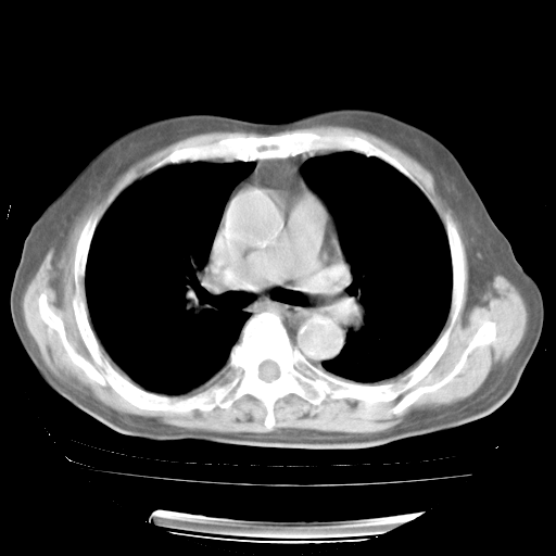
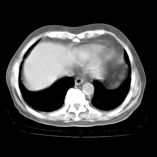
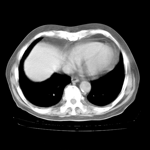
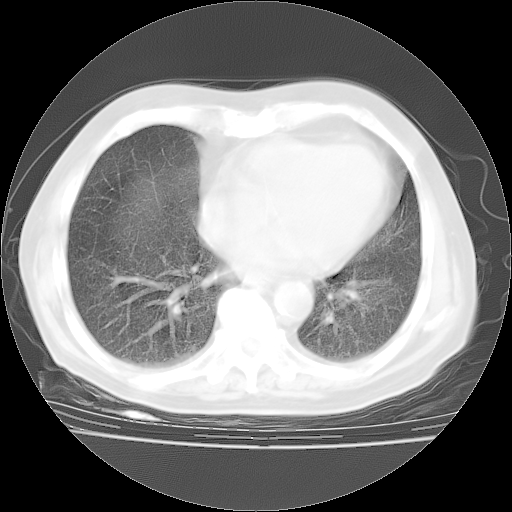
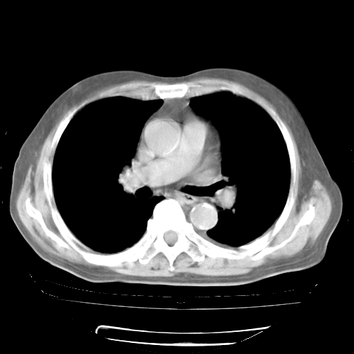
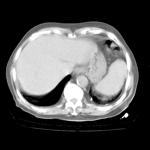
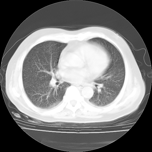
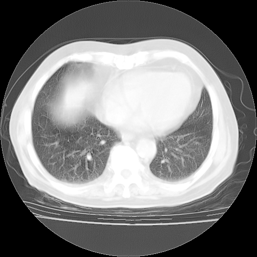
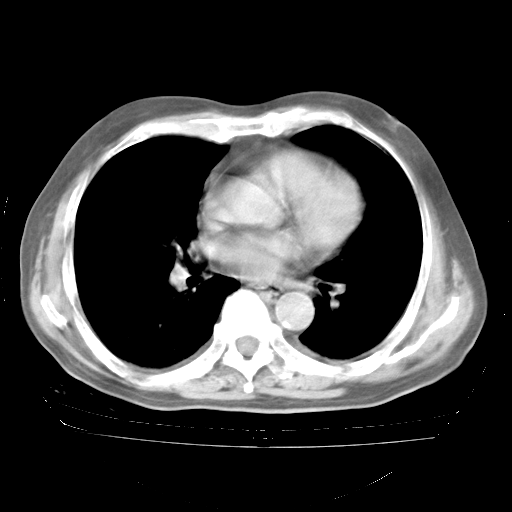
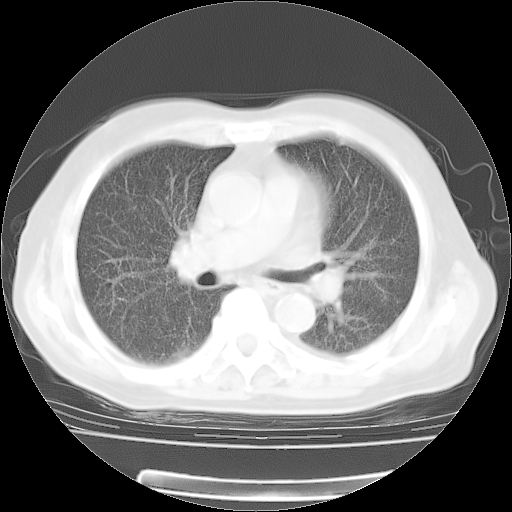
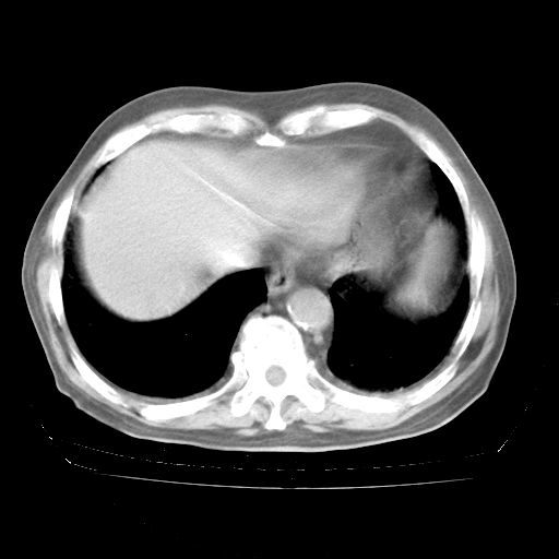
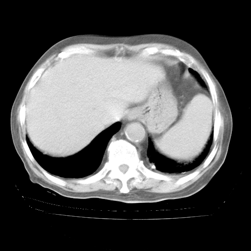
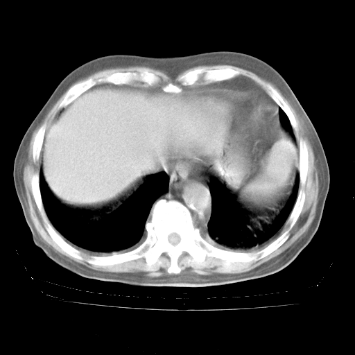
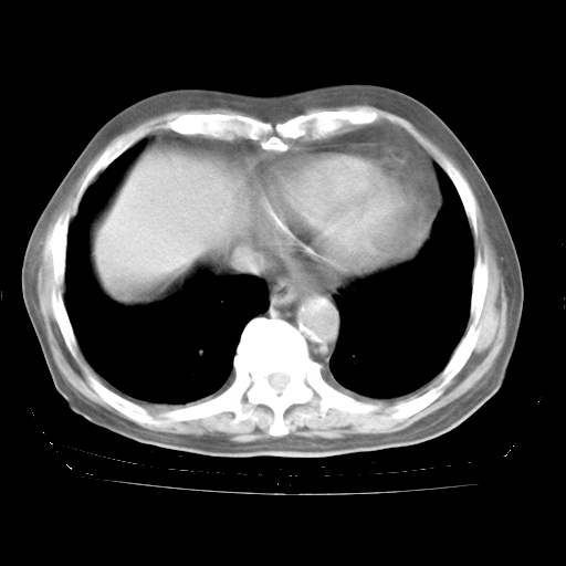
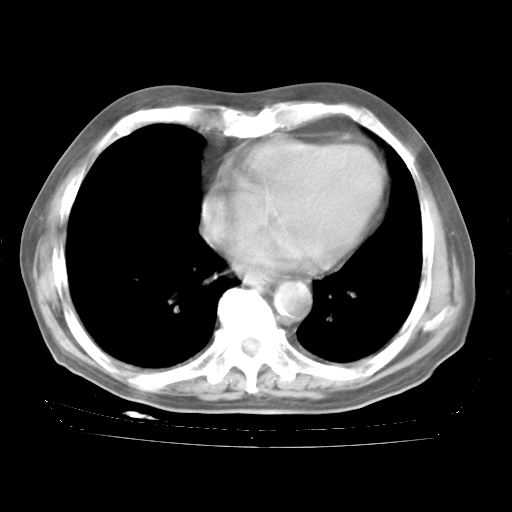
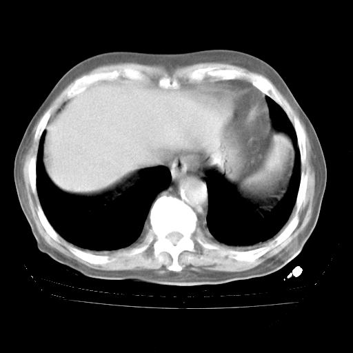
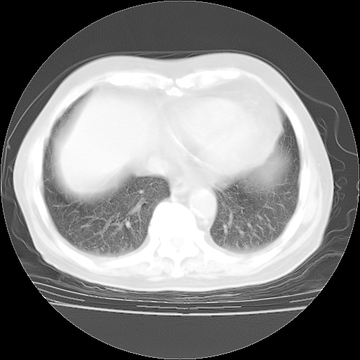
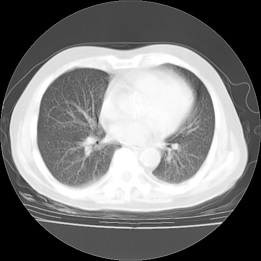
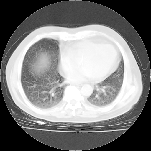
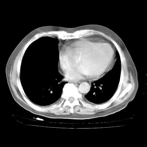
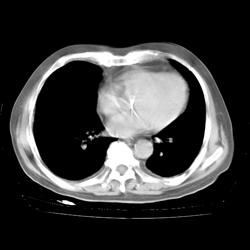
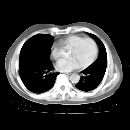
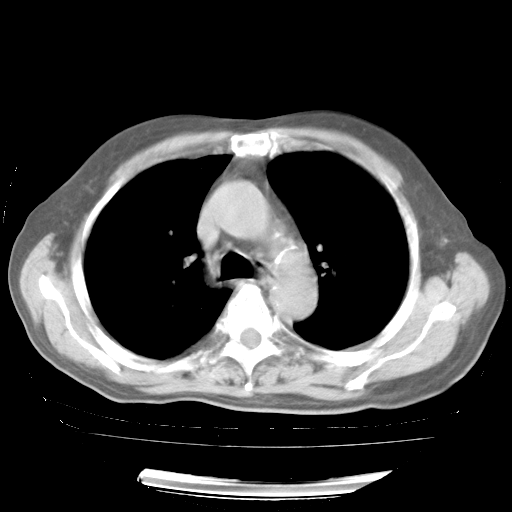
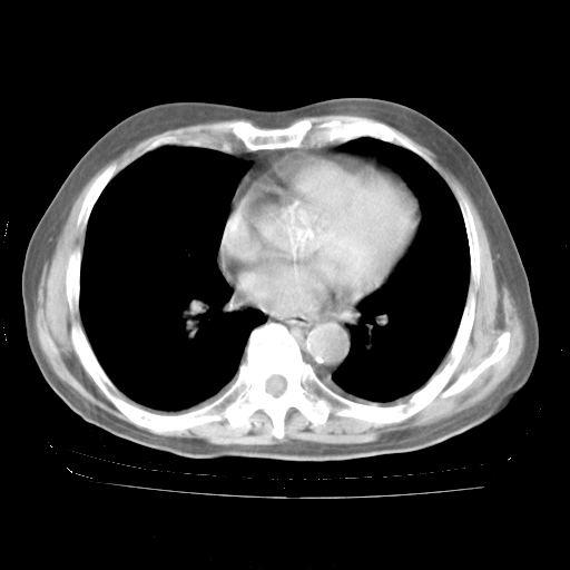
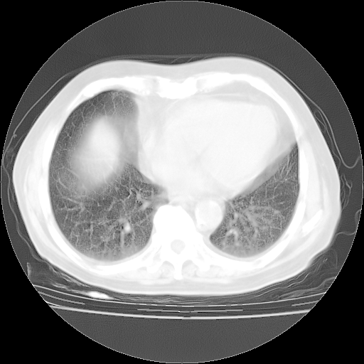
今天部分检查
轻微咳嗽,无痰,(体温正常时)R20次/分,P75次/分,双肺底、腋下可闻及少量捻发音。下肢轻度浮肿。
血常规:白细胞9.11×109/L,N0.92,L5.64,血小板39.2×109/L,HB148g/L,ESR2mm/H。
尿常规:潜血+
血生化:总蛋白69.71g/L,白蛋白38.40g/L,球蛋白31.31g/L,CRP27.9mg/L,尿素氮11.98mmol/L,肌酐106μmol/L,乳酸脱氢酶1099 U/L,肌酸激酶108U/L,CK-MB 61U/L。
腹部B超:胆囊壁增厚,肝、胆、胰、脾、肾无异常,肠系膜淋巴结、腹膜后淋巴结无增大。
ECG:右心室增大
心脏超声检查:无右心室增大。
增加治疗:异烟肼、利福平、乙胺丁醇,静滴左氧氟沙星、参麦注射液。甲强龙从80mg暂减为40mg。
强的松3月1日改为10mg qd,4月1日改为10mg qod。3月份以前的减量过程和环磷酰胺疗程需等明天查看记录(我岳父自己做的记录在他家里)。
给您添麻烦了,谢谢。 |
|